中文名字就算我国的3D彩打业务研究方向的技巧科研开发上坡起步准确时间比俄罗斯晚了10年,但经途3年的壮大,达成了长足的进步作文。在建造业务研究方向,是可以采用3D彩打制造出技术经过。它在医治和制造出技术等每一个工作方面常有比较广泛的运用。
2009年,陕西博物馆采用3D打印技术对文物进行了三维扫描,数据收集,油画模型印刷等一系列步骤,无需与文物接触,并模仿制作了国家级宝藏文物-鹿形的金色怪兽。对文物的修复,鉴定和保存具有重要意义。
2014年,上海张江高科技青浦园区的10栋3D打印搬迁工程办公室正式投入使用。这些建筑物由大型3Dword打印机分层放置,施工过程仅用了24小时。
2015年,复旦大学儿童医院首次应用3D打印技术恢复了儿童连体臀部的脊柱和皮肤融合,并成功完成了连江西连体女婴的分离操作。
2020年,为了遏制疫情暴发并隔离新的冠状病毒患者,世界各国在修建收容所的过程中也使用了3D打印技术。从接到任务到房间设计,打印和安装仅用了11天时间,极大地节省了施工时间,为防控该病创造了有利条件。
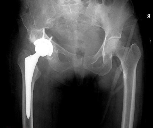
2020年,南方医科大学附属中西医结合医院进行了人工关节置换手术,减轻了患者20多年的痛苦。使用3D打印计算机辅助手术的“个性化”治疗计划是使用CT图像,计算机三维重建,等设计模拟技术,这些技术可以在手术前从多个角度进行观察最大限度地处理困难和复杂的操作。降低患者手术风险的能力。

3D打印离我们并不遥远。在其发展过程中,它也以微妙的方式影响着我们的生活。到那时,我们每个家庭都应该会配备3D网页打印机,可以享受高科技带来的便利。