某个方位: 首页 公司 新闻动态
创想三维 :3D打印机制造模型如何改善骨折治疗
2020-02-26 12:09:39
       国家深入分析方案人数正在慢慢深入分析方案适用生产制造建模 来调理扭伤手术中药医治方法。第二个付属三甲医院科室眼科和四川温州市医科一本大学育英孩子 三甲医院科室的华晨在“适用3D直接打印机生产制造的建模 来调理扭伤手术中药医治方法保健作用”中解答了顾客在表明中药医治方法扭伤手术领域的几项随机数药学耐压试验。

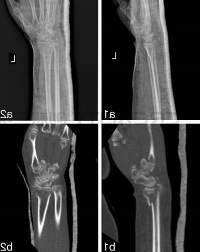
       从以前跟踪过的案例中,其中3D打印机已被用于创建假肢制造手臂模型以帮助修补骨折,甚至制作植入物来治愈损伤,但在本次研究中,研究人员评估了该技术在其中进行改进的能力。48名患有桡骨远端骨折的患者(最常见的上身损伤类型之一)参与了这项研究。

       从这项研究中,研究人员注意到以下几点:手术时间,失血量和术中透视频率。外科医生和患者都有机会填写调查问卷,并在最后提供有关研究的意见(在外科医生中,与患者沟通的3D原型的有用性的平均得分为9.1±0.8,以及整体有用性3D打印模型为6.7±1.4。)



       “一些作者报道,在骨折治疗中使用3D打印机制造的模型具有很大的效果。因此,我们可以假设3D打印模型可以作为治疗桡骨远端骨折的新方法,研究小组表示:“由于桡骨远端的解剖体积很小,可以方便创建实现模型,只需很少的时间和成本。此外,这种骨折的高发生率使得能够收集标准病例的数据。因此,我们认为远端桡骨骨折是评估3D打印模型在骨折治疗中使用效果最合适的例子。”

       CT数据以DICOM格式存储,然后在3D打印机中使用PLA耗材打印之前通过Mimics软件进行转换。科学家们报告了3D打印模型的成功,因为它们清楚地显示了骨折的位置,这种手术每次大约需要两个半小时。



       “在3D模型上,我们根据骨折线分割骨折碎片,然后用K线暂时复位碎片,然后用金属板和螺钉固定碎片,”研究小组说:“通过这种方式,所需植入物的类型和尺寸在术前确定,我们可以选择合适的金属板和螺钉。”

       研究人员在讨论中指出,3D打印机制造的模型可以进行更准确的诊断和手术,并在需要时作为指导。由于3D打印机可以用于在复杂手术之前生成个性化实现骨折固体原型,因此初级外科医生可以观察骨折的解剖结构并模拟外科手术以确定内固定所需的种植体大小。



       该研究还表明,3D打印机制造的模型可以使手术时间更快,患者失血更少,以及术中透视的频率更好,但它没有改善术后功能。限制还包括仅对骨骼进行建模,而不考虑软组织以及由软件和硬件的复杂性引起的可能性错误。

       研究人员总结道:“我们的研究表明,3D打印模型有效地帮助医生计划和执行手术,并提供医生和患者之间更有效的沟通,但与常规治疗相比,不能改善术后功能。”

       的来源:创想三维  图 

创想三维 :3D打印机制造模型如何改善骨折治疗
订阅我们
创想三维 (Creality)是全球3D打印机领导品牌,国家高新技术企业,国家级专精特新“小巨人“,专注于3D打印机的研发和生产,产品覆盖“熔融累积制作和光固化”。
社交媒体

创想三维 (Creality)是全球3D打印机领导品牌,国家高新技术企业,国家级专精特新“小巨人“,专注于3D打印机的研发和生产,产品覆盖“熔融积累压合和光固化”。
深圳市龙华区民治街道新牛社区梅龙大道锦绣鸿都大厦18F
© 2014-2023 深圳市创想三维 科技股份有限公司 版权所有