现如今区域: 首页 公司 新闻动态
创想三维 :个性化定制你的牙齿 3D打印能帮你
2018-08-18 09:30:14
我想体会出最迷人浪漫的事 就算跟你一块通过生活缓慢老了 等到你们老得那里也去不住 你还如何依旧会就将我想成手心底的宝 而我想着,最情调的事 这就是吃嘛嘛香,味口好得不宜了 一齐吃到老活到老 但这必要条件是 核心都是你得有颗副好牙

创想三维
:个性化定制你的牙齿  3D打印能帮你

  发展趋势:反响强烈,在随着我国人口数据结构结构占社会级人口数据结构结构的15%控制,做为社会级极限的人口数据结构结构欧洲国家,他们收获过去了400亿颗,就是门牙的质常数求和却走不进社会级前50位。在此见到在随着我国的门牙质你以为差的无法解释!   全国的工商联常务委员、华西嘴巴中医药理工大学领导职业医师周学东说“日前大医院最高的牙植体5万元两枚,种两口牙相同于一架奥迪车”。重金换牙这对于普通级老市民总的来说,何尝就不算个疑难问题?加牙由是在统一的准则下开发弄出来的,并就不算每项个都非常适合每一位病病患者的拔牙窝,添加了病患者的中药治疗投资成本和时,难易达到“”。这就造变成看牙贵,看牙难通常市场现状。

创想三维
:个性化定制你的牙齿  3D打印能帮你

  3D打印技术能够进行个性化定制

  技巧是更快压延成型技巧的一款,它都是款数字5整治档案为的基础,应用粉化状五金或塑胶板材等可粘牢涂料,能够 层层堆叠加权平均的玩法来设计构造物品的技巧。

创想三维
:个性化定制你的牙齿  3D打印能帮你

  济南读书齿科临床医职业技术学院唐志辉教学因为,“私定制大小”是“三d打印文件牙”的特殊特色文化。“3D牙齿健康就可以全应用拔牙窝,不需要减半填充牙骨物料,伤口小,介入手术实操细化,患有会印象更挺舒服。”

创想三维
:个性化定制你的牙齿  3D打印能帮你

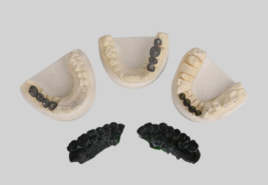
  3D彩印枝术这不仅需要降底制疗成本预算,延长制疗阶段,还需要确定风格化自定义,从千万地步上彻底解决看牙贵,看牙难间题。   去年,创想三维 立体网页打印文件出槽牙3d模型,探究如何快速更有效地把风格化自定义槽牙和3D网页打印文件新技术相紧密联系。

创想三维
:个性化定制你的牙齿  3D打印能帮你

  3D复印是一种个太阳服务业,在患者牙齿区域再有更大可定制开发的范围,将来,私家订造“3D复印牙”越发越普遍性,而创想二维很久会再产品推广3D复印技术应用,将科技信息的效果受益所有人。   请随时关心创想3d,以及很多意想到不了的意外惊喜一直在等你。

创想三维
:个性化定制你的牙齿  3D打印能帮你

创想三维 :个性化定制你的牙齿 3D打印能帮你
订阅我们
创想三维 (Creality)是全球3D打印机领导品牌,国家高新技术企业,国家级专精特新“小巨人“,专注于3D打印机的研发和生产,产品覆盖“熔融沉积物熔融和光固化”。
社交媒体

创想三维 (Creality)是全球3D打印机领导品牌,国家高新技术企业,国家级专精特新“小巨人“,专注于3D打印机的研发和生产,产品覆盖“熔融岩浆岩制作和光固化”。
深圳市龙华区民治街道新牛社区梅龙大道锦绣鸿都大厦18F
© 2014-2023 深圳市创想三维 科技股份有限公司 版权所有